Your mouth connects directly to your bloodstream, creating a fast lane for bacteria to travel straight to your heart valves.
Most of us ignore the metallic taste of blood or puffy gums, dismissing them as minor inconveniences while silent inflammation slowly damages arterial walls.
Recognizing these signals allows you to intervene early and flip a physiological switch that protects your entire cardiovascular system.
Research from leading heart institutes confirms that treating gum disease can significantly lower the risk of arterial thickening and subsequent heart events.
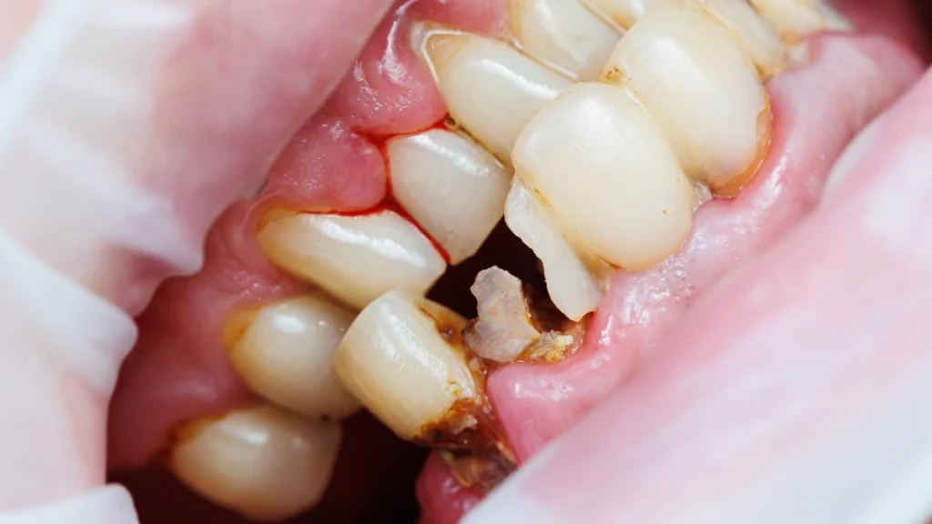
1. Red, Swollen Gums (Gingivitis)

Healthy tissue should look firm and pale pink, acting as a tight seal around your teeth to keep pathogens out. When that tissue turns angry red or feels puffy to the touch, it indicates your body is launching an inflammatory response against bacterial buildup.
This local inflammation is often a mirror of systemic inflammation occurring in your blood vessels, which is a primary driver of heart disease. Ignoring this early warning sign allows the protective seal to break down further.
- Look for gums that appear darker than the surrounding tissue.
- Notice if they feel tender when you brush or eat.
- Treat this immediately to stop bacteria from entering your bloodstream.
2. Bleeding When Flossing

Many people stop flossing when they see blood because they fear they are hurting themselves, but this reaction is actually backward. Bleeding gums are essentially an open wound in your mouth that provides a direct entry point for oral bacteria like P. gingivalis to enter your circulation.
Once in the blood, these bacteria can attach to fatty plaques in your coronary arteries and increase the risk of a blockage. You must toughen the tissue through consistent cleaning rather than avoiding the area.
- Bleeding signals an active infection that needs daily attention.
- Healthy gums do not bleed during normal hygiene routines.
- Continue flossing gently to remove the irritants causing the bleed.
3. Receding Gums

When your gums pull back and expose the root of the tooth, it signals that the bone and tissue supporting your teeth are being destroyed. This degradation often correlates with systemic issues, as the same inflammatory markers destroying your gum tissue may be attacking your heart vessels.
It leaves the tooth vulnerable and creates larger surface areas for bacteria to accumulate and fester. You might notice your teeth looking longer than they used to or feeling sensitive to cold water.
- Recession is permanent and creates gaps for bacterial growth.
- It exposes the tooth root which has no protective enamel.
- Switching to a soft brush prevents further tissue loss.
4. Deep Gum Pockets

Your dentist measures the space between your tooth and gum using a small probe, and this number is a critical health metric. A healthy gap is tiny, but pockets deeper than four millimeters become reservoirs where aggressive bacteria thrive without oxygen.
These deep pockets constantly dump toxins into your system, burdening your immune system and stressing your heart. You cannot clean these pockets with a standard toothbrush or floss because the bristles cannot reach deep enough.
- Pockets deeper than 4mm indicate active periodontal disease.
- Bacteria in these pockets can travel to heart valves.
- Professional deep cleaning is required to shrink these spaces.
5. Loose or Wobbly Teeth

If your adult teeth feel mobile or shift when you chew, the infection has likely destroyed the bone structure holding them in place. This stage of periodontitis has the strongest link to cardiovascular disease because it represents long term, chronic infection.
The bacteria responsible for eating away your jawbone are the same type found in the arterial plaque of heart attack victims. At this point, the bacterial load in your mouth is high enough to pose a significant systemic threat.
- Mobility indicates severe bone loss and advanced infection.
- This symptom often requires immediate extraction or splinting.
- It suggests your body has been fighting chronic inflammation for years.
6. Tooth Loss

Losing teeth is not just an aesthetic issue; it is a major predictor of longevity and cardiovascular health. Studies show a direct correlation where missing a significant number of teeth increases the risk of death from heart disease and stroke.
This happens because tooth loss is the end result of decades of chronic inflammation that has likely damaged other organ systems. Preserving your remaining teeth is essential for maintaining a lower systemic inflammatory load.
- Missing teeth are statistically linked to higher heart failure rates.
- It impairs nutrition which further weakens heart health.
- Implants or dentures do not cure the underlying inflammation risk.
7. Jaw Pain (Left Side)

While often dental, pain radiating along the left side of the jaw can be a deceptive symptom of a cardiac event. The nerves in the jaw and the heart converge at the same point in the spinal cord, causing the brain to misinterpret heart distress as tooth pain.
This is particularly common in women, who are less likely to experience the classic Hollywood chest clutch. If the pain is sudden and feels like pressure rather than a sharp toothache, you must assess other symptoms immediately.
- Jaw pain combined with nausea is a medical emergency.
- Dental pain is usually localized to a specific tooth.
- Heart pain often feels like a dull, spreading ache or pressure.
8. Cracked or Worn Teeth

Teeth that are flattened or show hairline vertical cracks are hallmark signs of bruxism, or chronic grinding. This condition is physically destructive to enamel but also serves as a loud signal of high psychological stress and elevated cortisol levels.
Chronic stress is a well known contributor to high blood pressure and cardiac strain, making your worn teeth a physical manifestation of heart risk. Addressing the grinding helps lower your physiological arousal and protects your heart from stress induced damage.
- Flat molars indicate high stress levels during sleep.
- High cortisol from stress directly damages arteries.
- A night guard protects teeth and reduces tension headaches.
9. Persistent Bad Breath (Halitosis)

Chronic bad breath that does not resolve with brushing is usually caused by the volatile sulfur compounds produced by bacteria. This is not just about social embarrassment; it is the scent of an active, breeding infection deep within your gum tissues.
These bacteria are pumping out byproducts that enter your lungs and bloodstream, contributing to oxidative stress throughout the body. Mints and mouthwash only mask the odor without removing the bacterial colony causing the risk.
- Halitosis is often the smell of decaying tissue and bacteria.
- It indicates a high bacterial load entering your system.
- Tongue scraping can significantly reduce these sulfur compounds.
10. Dry Mouth (Xerostomia)

Saliva is your mouth’s primary defense system, containing enzymes that neutralize acids and wash away harmful microbes. When your mouth is chronically dry, you lose this protective barrier, allowing plaque to calcify faster and bacteria to multiply unchecked.
Dry mouth is also a very common side effect of many blood pressure medications, creating a dangerous cycle for heart patients. Managing moisture levels is critical to prevent rapid decay and maintain an oral environment that supports heart health.
- Lack of saliva accelerates gum disease progression.
- It is a common warning sign of dehydration or medication issues.
- Sipping water frequently helps mimic natural saliva flow.
11. Scalloped Tongue

This is a primary physical indicator of Sleep Apnea, where the tongue blocks the airway during sleep and starves the heart of oxygen.
This nightly suffocation forces your heart to work harder, spiking blood pressure and significantly raising the risk of heart failure. Treating the airway issue often resolves the tongue shape and relieves the immense strain on your cardiovascular system.
- Ripples on the tongue suggest a narrow airway or large tongue.
- Sleep Apnea is a massive hidden cause of heart disease.
- A sleep study is necessary to confirm oxygen deprivation levels.
12. Non-Healing Mouth Ulcers

A sore in your mouth that persists for more than two weeks signals that your immune system is struggling to repair tissue. While it can sometimes indicate oral cancer, it is also a marker of systemic immune suppression or chronic inflammation.
When your body is too overwhelmed to heal a small ulcer, it may also be failing to repair the micro-damage in your blood vessels. Persistent lesions require professional evaluation to rule out autoimmune conditions that affect the heart.
- Ulcers should naturally heal within ten to fourteen days.
- Long lasting sores indicate a compromised immune response.
- Systemic inflammation slows down wound healing capabilities.
13. Pale or Blue Lips and Gums

The color of your oral tissues is a direct reflection of the oxygen saturation in your blood. Healthy blood is bright red, giving gums and lips a pinkish hue, while deoxygenated blood turns dark or blue.
Cyanosis, or blueness, in the lips or gums is a critical sign that your heart or lungs are not circulating enough oxygen to the body’s periphery. This is a late stage warning sign of heart failure or severe respiratory compromise that requires immediate medical assessment.
- Pale tissue suggests anemia or reduced blood flow.
- Blue tints indicate a critical lack of oxygen circulation.
- This visual cue warrants an immediate check of your vitals.
Reduced red blood cells or poor circulation.
CRITICAL: Lack of oxygen. Check vitals immediately.